seb-E6E7 NTCC®人源永生化皮脂腺细胞 BioVector NTCC质粒载体菌种细胞基因保藏中心
- 价 格:¥99850
- 货 号:NTCC®seb-E6E7
- 产 地:北京
- BioVector NTCC典型培养物保藏中心
- 联系人:Dr.Xu, Biovector NTCC Inc.
电话:400-800-2947 工作微信:1843439339 (QQ同号)
邮件:Biovector@163.com
手机:18901268599
地址:北京
- 已注册
seb-E6E7皮脂腺细胞 BioVector NTCC质粒载体菌种细胞基因保藏中心
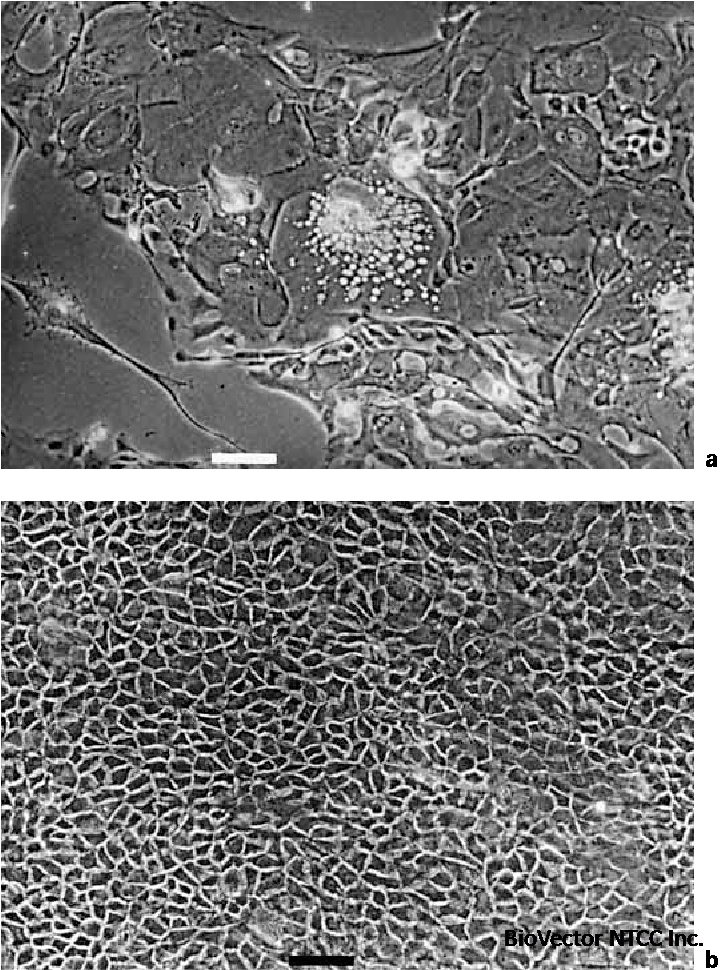
Seb-E6E7 is an immortalized human sebaceous gland cell line derived from the facial skin of a 55-year-old male. It was established by transfecting the cells with the human papillomavirus 16 (HPV16) E6 and E7 genes, which allows the cells to divide indefinitely in culture.
Seb-E6E7 cells are a valuable tool for studying the biology of sebaceous glands and for investigating the pathogenesis of skin diseases that involve sebaceous glands, such as acne and sebaceous gland tumors. They have been used in a variety of research studies, including those investigating the effects of hormones, retinoids, and other agents on sebaceous gland function.
Here are some key characteristics of Seb-E6E7 cells:
Origin: Human, male
Cellular morphology: Epithelial
Growth pattern: Monolayer
Histopathology: Sebaceous gland
Differentiation: Differentiates into sebocytes
Image

生产厂家Supplier:
BioVector NTCC质粒载体菌株细胞蛋白抗体基因保藏中心
E-mail:BioVector@163.com
- 公告/新闻




